Search our suppliers catalog
ScyTek
ScyTek
News about ScyTek
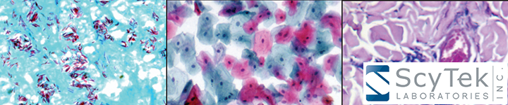
| New! Glycogen, Elastin, Mucin Stain Kit This stain kit utilizes a sulfation procedure and Toluidine Blue O to give specific metachromatic staining of Glycogen, Elastin, and Mucin (acidic and neutral) in formalin-fixed paraffin-embedded sections. Similar methods have previously been studied and referenced as Aldehyde Bisulfite Toluidine (ABT) and Permanganate Bisulfite Toluidine (PBT) staining. Glycogen may be visualized with a contrasting background as an improvement upon PAS staining. Learn More Click on image to enlarge |
![]() |
| Steiner Stain Kit (For Spirochetes) The Steiner Stain Kit (For Spirochetes) is designed for demonstrating Fungi, Helicobacter Pylori, Legionella pneumophila, and Spirochete infected tissue. Kit may be used on formalin fixed, paraffin-embedded tissue sections. Spirochetes: Black to Brown Helicobactor Pylori: Black to Brown Fungi: Black to Brown Legionella pneumophila: Black to Brown Background: Yellow to Tan Learn More Click on image to enlarge |
![]() |
| View all available stain kits |
Info ScyTek
Pathology Antibodies and Staining reagents
ScyTek Laboratories was founded in 1991 with the goal of becoming a world class manufacturing company producing reagents for the life sciences market. From the early days producing ELISA reagents, ScyTek has gradually expanded its production capabilities to include Immunohistochemistry Reagents, Special Stains, Routine Stains, Buffers, Mounting Media, Fixatives, Diluents and a wide variety of custom reagents. From the beginning, we adopted a stringent raw material screening process to ensure that all manufactured products were of the highest quality. In 2011 ScyTek Laboratories received ISO 9001-2008 certification, followed by certification to ISO 13485 in 2016.
ScyTek Laboratories was founded in 1991 with the goal of becoming a world class manufacturing company producing reagents for the life sciences market. From the early days producing ELISA reagents, ScyTek has gradually expanded its production capabilities to include Immunohistochemistry Reagents, Special Stains, Routine Stains, Buffers, Mounting Media, Fixatives, Diluents and a wide variety of custom reagents. From the beginning, we adopted a stringent raw material screening process to ensure that all manufactured products were of the highest quality. In 2011 ScyTek Laboratories received ISO 9001-2008 certification, followed by certification to ISO 13485 in 2016.
Currently there are no products of the brand ScyTek in our catalog.



